Ce este xantelasma?
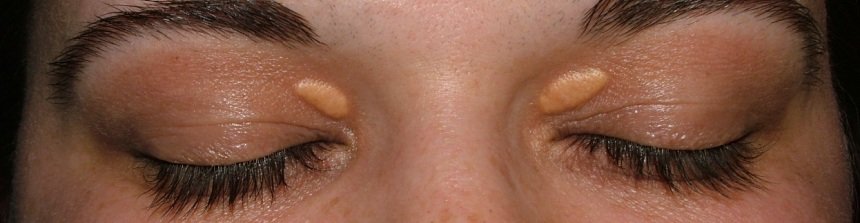
Este un depozit benign de grasime, colesterol, situat superficial in piele, mai exact in dermul superficial. Xantelasma se manifesta sub forma unor pete inestetice alb-galbui din jurul ochilor, pe pielea pleoapelor.
Video – cazuri de xantelasme rezolvate in clinica Bestetic:
Cum apar xantelasmele?
Apar de obicei la nivelul pleoapelor inferioare si superioare, sub forma unor insule alb-galbui, usor supradenivelate. Sunt moi, nedureroase si au suprafata neteda cu margini bine delimitate. Odată aparute, nu dispar de la sine, ci dimpotriva, cresc lent in dimensiuni.
Uneori pot să apara la mai multi membrii ai aceleiasi familii. Cam jumatate dintre pacientii cu xantelasme prezinta un nivel ridicat al grasimilor din sange (colesterol, trigliceride). In astfel de cazuri este indicat consultul medical (medic de familie, internist, nutritionist) pentru stabilirea regimului si tratamentului necesar.
Cum evolueaza xantelasma?
Xantelasmele evoluează lent si progresiv, cresc in suprafata şi produc deficit cosmetic. Se maresc in pata de ulei, si invadeaza tesuturile din jur.
Tratamentul. Cum se trateaza xantelasma?
Tratamentul clasic este chirurgical prin excizie si sutura. Se face cu anestezie locala. Rezultatul este cu atat mai bun cu cat adresarea la medic se face mai repede, cand formatiunea are dimensiuni mici de cativa milimetri.
Indepartarea unei xantelasme fara cicatrici
Tehnica mea pentru tratarea xantelasmei, pe care o si recomand, este indepartarea depozitelor de colesterol prin bisturiu laser – radiofrecventa Elmann.
Folosesc frecvent aceasta tehnica si pentru indepartarea alunitelor fara cicatrici – vezi mai multe detalii aici.
Aceasta tehnica este mai avantajoasa variantei clasice si permite indepartarea xantelasmelor fara semne vizibile.
Dupa operatie este necesara o singura consultatie pentru control. Nu necesita scoaterea firelor de sutura deoarece nu se folosesc in tehnica cu radiofrecventa.
Cum se previn xantelasmele?
Nu exista tratament preventiv. Daca nu se opereaza, xantelasmele ajung la dimensiuni impresionante iar in acest caz interventia chirurgicala devine dificila, uneori necesitand plastii complexe.
Pentru lamuriri suplimentare nu ezitati sa ma contactaţi.







